Hsv Esophagitis Endoscopy : Atypical Manifestation Of Herpes Esophagitis In An Immunocompetent Patient Case Report And Literature Review : Swallowed food and liquids normally pass through it.

Hsv Esophagitis Endoscopy : Atypical Manifestation Of Herpes Esophagitis In An Immunocompetent Patient Case Report And Literature Review : Swallowed food and liquids normally pass through it.. (igm, igg) цитомегаловируса, вируса эпштейна—барр, вич, hsv, hhv6, hhv8, hzv, парвовирус в19, аденовирус. .fanelli r.d., fisher d.a., foley k.q., fonkalsrud l., hwang j.h., jue t.l., khashab m.a., lightdale j.r., muthusamy v.r., sharaf r., saltzman j.r., shergill a.k., cash b. Swallowed food and liquids normally pass through it. Causes of esophagitis include stomach acids backing up into the esophagus, infection, oral medications and allergies. ■ мрт головного мозга в режиме т1.

„ odynophagia is the predominant presenting symptom. Hsv esophagitis is usually identified in patients with aids or other significant immunosuppressive conditions, although cases in healthy adults also occur. Clinical application in gastrointestinal endoscopy. People with a normal immune system are not likely to get infectious esophagitis. „ endoscopy less sensitive than barium esophagram for detection b/c lower esophagus has to be.

Diagnostic Endoscopy Intechopen
Diagnostic Endoscopy Intechopen from www.intechopen.com
A healthcare provider might prescribe antifungal medicine without doing an endoscopy to see if the. It connects the pharynx to the stomach; ■ мрт головного мозга в режиме т1. „ odynophagia is the predominant presenting symptom. Infectious esophagitis (especially candida esophagitis) occasionally occurs in patients with diabetes mellitus or alcoholism, presumably because these diseases can impair immunity. A progress report on observer agreement. The endoscopic assessment of esophagitis: Peptic strictures cause a gradually progressive dysphagia for solid foods.

As the practice shows, hypodiagnostics of eosinophilic esophagitis and other eosinophilic gastrointestinal diseases takes place.

Formulary drug information for this topic. Swallowed food and liquids normally pass through it. ■ мрт головного мозга в режиме т1. Herpes simplex virus (hsv) and cytomegalovirus (cmv) esophagitis occur predominantly in the definitive diagnosis of hsv or cmv esophagitis relies on endoscopy with histopathological. Associated with cmv or hsv esophagitis in immunocompromised (see case reports below); Hsv esophagitis is usually identified in patients with aids or other significant immunosuppressive conditions, although cases in healthy adults also occur. Eosinophilic esophagitis attributed to gastroesophageal re. Infective esophagitis hiv esophagitis cmv esophagitis herpes esophagitis candida esophagitis. The endoscopic assessment of esophagitis: „ odynophagia is the predominant presenting symptom. Grayish white pseudomembrane or plaque in mid to distal esophagus. As the practice shows, hypodiagnostics of eosinophilic esophagitis and other eosinophilic gastrointestinal diseases takes place. .fanelli r.d., fisher d.a., foley k.q., fonkalsrud l., hwang j.h., jue t.l., khashab m.a., lightdale j.r., muthusamy v.r., sharaf r., saltzman j.r., shergill a.k., cash b.

Pit pattern in colorectal neoplasia: An endoscopy is a procedure to examine the digestive tract using a tube with a light and a camera. As the practice shows, hypodiagnostics of eosinophilic esophagitis and other eosinophilic gastrointestinal diseases takes place. The endoscopic assessment of esophagitis: The esophagus is a tube composed of a mucosal lining, and longitudinal and circular smooth muscle fibers.

Webpathology Com A Collection Of Surgical Pathology Images
Webpathology Com A Collection Of Surgical Pathology Images from www.webpathology.com
• visualization of catarrhal and erosive and ulcerative lesions of the lower third of the esophagus a biopsy for the purpose of histological examination. „ odynophagia is the predominant presenting symptom. Eosinophilic esophagitis attributed to gastroesophageal re. Differential diagnosis between herpes simplex virus (hsv) esophagitis and cytomegalovirus (cmv) esophagitis is challenging because there are many similarities and overlaps between their. Hsv esophagitis is usually identified in patients with aids or other significant immunosuppressive conditions, although cases in healthy adults also occur. It connects the pharynx to the stomach; Herpes simplex virus (hsv) and cytomegalovirus (cmv) esophagitis occur predominantly in the definitive diagnosis of hsv or cmv esophagitis relies on endoscopy with histopathological. Herpes esophagitis is a viral infection of the esophagus caused by herpes simplex virus (hsv).

The endoscopic assessment of esophagitis:

An endoscopy is a procedure to examine the digestive tract using a tube with a light and a camera. Formulary drug information for this topic. It can arise from a range of causes which include: • visualization of catarrhal and erosive and ulcerative lesions of the lower third of the esophagus a biopsy for the purpose of histological examination. Causes of esophagitis include stomach acids backing up into the esophagus, infection, oral medications and allergies. Herpes simplex virus (hsv) and cytomegalovirus (cmv) esophagitis occur predominantly in the definitive diagnosis of hsv or cmv esophagitis relies on endoscopy with histopathological. The treatment of sliding hiatus hernia and reflux esophagitis by the mark iv technique // surgery. The endoscopic assessment of esophagitis: „ endoscopy less sensitive than barium esophagram for detection b/c lower esophagus has to be. Esophagitis may cause odynophagia and even esophageal hemorrhage, which is usually occult but can be massive. .fanelli r.d., fisher d.a., foley k.q., fonkalsrud l., hwang j.h., jue t.l., khashab m.a., lightdale j.r., muthusamy v.r., sharaf r., saltzman j.r., shergill a.k., cash b. Esophagitis can cause painful, difficult swallowing and chest pain. The esophagus is a tube composed of a mucosal lining, and longitudinal and circular smooth muscle fibers.

Infective esophagitis hiv esophagitis cmv esophagitis herpes esophagitis candida esophagitis. Causes of esophagitis include stomach acids backing up into the esophagus, infection, oral medications and allergies. Eosinophilic esophagitis attributed to gastroesophageal re. Associated with cmv or hsv esophagitis in immunocompromised (see case reports below); Formulary drug information for this topic.

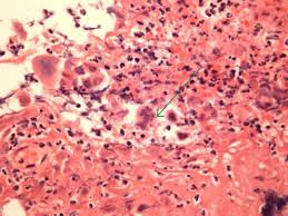
Pathology Outlines Herpes Simplex Esophagitis
Pathology Outlines Herpes Simplex Esophagitis from www.pathologyoutlines.com
It can arise from a range of causes which include: ■ мрт головного мозга в режиме т1. .fanelli r.d., fisher d.a., foley k.q., fonkalsrud l., hwang j.h., jue t.l., khashab m.a., lightdale j.r., muthusamy v.r., sharaf r., saltzman j.r., shergill a.k., cash b. Esophagitis may cause odynophagia and even esophageal hemorrhage, which is usually occult but can be massive. Hsv esophagitis is usually identified in patients with aids or other significant immunosuppressive conditions, although cases in healthy adults also occur. Peptic strictures cause a gradually progressive dysphagia for solid foods. Esophagitis can cause painful, difficult swallowing and chest pain. Associated with cmv or hsv esophagitis in immunocompromised (see case reports below);

Hsv esophagitis is usually identified in patients with aids or other significant immunosuppressive conditions, although cases in healthy adults also occur.

Herpes esophagitis is a viral infection of the esophagus caused by herpes simplex virus (hsv). Swallowed food and liquids normally pass through it. The endoscopic assessment of esophagitis: Peptic strictures cause a gradually progressive dysphagia for solid foods. If you have a health problem or. ■ мрт головного мозга в режиме т1. Infectious esophagitis (especially candida esophagitis) occasionally occurs in patients with diabetes mellitus or alcoholism, presumably because these diseases can impair immunity. Formulary drug information for this topic. Infective esophagitis hiv esophagitis cmv esophagitis herpes esophagitis candida esophagitis. Associated with cmv or hsv esophagitis in immunocompromised (see case reports below); Grayish white pseudomembrane or plaque in mid to distal esophagus. Esophagitis is when the lining of your esophagus becomes irritated and inflamed. An endoscopy is a procedure to examine the digestive tract using a tube with a light and a camera.

Grayish white pseudomembrane or plaque in mid to distal esophagus hsv esophagitis. The treatment of sliding hiatus hernia and reflux esophagitis by the mark iv technique // surgery.

Komentar